Patient Resources: Arteriovenous Malformations (AVM) OF Brain
What is a cerebral or brain AVM ?
An AVM is a tangle of abnormal and poorly formed blood vessels (arteries and veins) wherein direct connections form between arterial and venous sides without any capillaries in between. Normally arteries take blood away from heart to supply the brain substance after dividing into very tiny structures called capillaries. Veins then take the blood towards heart and then lungs for purification. In AVM the capillaries are missing. AVM can form anywhere in the body.


Fig 1: A- normal Arrangement of blood vessels, B- AVM
Fig 2: AVM in the right frontal lobe of brain. The abnormal bunch of vessels seen in the right upper corner of the image is the AVM.
What causes AVM ?
The cause in unknown and they form during pregnancy in the first trimester while the blood vessels are forming. Only some cases are syndromic and run in families. So far these have not been conclusively found to be associated with any drug intake, infection, pollution etc.
They can occur in people of all races and sexes in almost equal proportions although some reports say they are commoner in males. These are very rare conditions and occur in less than 1% of the population. The typical time of discovery is between the ages of 20 and 40 years although they have been present ever since.
What are the risks from AVM ?
AVMs have a life of there own in a way. They begin, grow and die. In many patients they remain undetected and go to grave with the person. In some, these are picked up during investigations done for other diseases. In a fraction, they produce symptoms.
What are the symptoms of an AVM ?
Haemorrhage (bleeding): AVMs have a higher rate of bleeding than normal vessels. This is the most serious complication of an AVM. The risk of bleeding over one's lifetime may be high especially if the AVM is discovered in a young person.
Table : Risk of Bleeding from an AVM
Life Expectancy from the age of discovery of AVM Risk of Bleeding
10 years 33.5%
20 years 55.8%
30 years 70.6%
40 years 80.3%
50 years 86.8%
Bleeding from an AVM will occur in about 4 out of 100 people with a brain AVM every year. Sometimes, a bleed may be small and produce no significant symptoms. Approximately 50% of the bleeds are significant with permanent disability in half of these cases and death in the other half.
Overall about 12% of people harboring an AVM will have symptoms and 1% die.

Fig 3: A -CT scan and B –MRI showing a large area of hemorrhage (white in CT and black in MRI)
Seizures: An AVM in the brain may act as an irritant resulting in seizures.
Headache: Headaches may be caused by the high blood flow through the AVM . These headaches may be similar to a migraine or be actual migraines. They may be mild or quite disabling. Sudden, severe headaches can be caused by bleeding. These headaches are often followed by nausea , vomiting , neurological problems or a decreasing level of consciousness.
Stroke (or stroke-like symptoms): Brain AVMs may cause stroke-like symptoms by depriving the nearby brain of blood as they ‘suck blood’ ( the steal phenomenon).
There is an increased risk of haemorrhage from an AVM during pregnancy and delivery due to the increased blood circulation that occurs during pregnancy. Although not all AVMs bleed during pregnancy, it is advisable to cure the AVM before getting pregnant.
How are brain AVM diagnosed ?
A patient undergoing CT scan or MRI of the brain for the above said symptoms or any unrelated condition will be found to have an AVM.

Fig 4: CT scan of the same patient as Fig 2 above showing large blood clot. This scan is non contrast CT and does not show yet the AVM

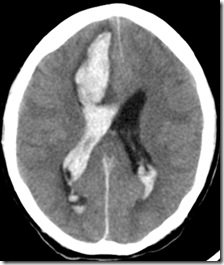
Fig 5: Plain ( non contrast) CT shows blood clot. After contrast given through intravenous line, CT done again (Contrast CT or CECT as it is called) note many white tortuous snake like structures, this is the AVM.

Fig 6: MRI does not need contrast material to pick up AVM. A is a CECT showing AVM, B is a non-contrast (plain) MRI of another patient showing the AVM. On MRI the blood vessels and hence the AVM appears black.
Following diagnosing the presence of an AVM, angiography is done. It can be done with CT (CT angiogram), MRI (MR Angiogram) or DSA ( Digital subtraction angiogram). Of these, DSA is the best technique to evaluate and AVM and will have to be invariably done if definitive treatment is planned in future.
What is the treatment of brain AVM ?
Under general anaesthesia a small catheter (plastic tube) is advanced from an artery of the groin, into the brain vessels and then into the AVM. A liquid material called ‘glue’ (chemical name n-Butylcyanoacrylate or nBCA) is injected into the AVM to form a solid cast and exclude any blood flow to the AVM. Now another liquid material called ONYX is also available which has been claimed to produce better chance of complete AVM cure. There is a small risk to this procedure and the chances of completely curing the AVM using this technique depends on the size of the AVM and some other features as seen on DSA. Upto 45- 50% chance of complete cure is possible with embolization. Multiple sittings may be required.


Fig : Figures on left of screen show DSA images before and after embolization. there is near complete cure of AVM however a small portion remained. There was haemorrhage, unfortunately after the procedure, so the patient underwent surgery to remove the blood clot and the remaining portions of the AVM. A DSA was done after few months which showed complete cure of the AVM. The bottom image shows the ‘cast’ of the glue.
Radiation Treatment
This treatment is also known as Radiosurgery or Stereotactic Radiotherapy or Gamma knife therapy. A narrow radiation beam of high dose is focused on the AVM. This radiation causes the AVM to shrink and eventually disappear over a period of 2-3 years in up to 80% of patients. The risk of complications is low. Until the AVM is completely eradicated, the risk of bleeding still persists however.
Surgery
The AVM is surgically removed in an operating room under general anaesthesia after opening the skull. Since AVMs do not grow back, the cure is immediate and permanent if the AVM is removed completely. The risks of surgery are considered to be high for AVMs that are located in deep parts of the brain with very important functions. If the AVM has bled then surgery can be done to remove the blood clot and in the same sitting the AVM can also be taken out. In many instances, embolization is done prior to surgery to reduce the size of the AVM or to tackle the very weak areas of the AVM which can bleed by handling during surgery.
An AVM is a tangle of abnormal and poorly formed blood vessels (arteries and veins) wherein direct connections form between arterial and venous sides without any capillaries in between. Normally arteries take blood away from heart to supply the brain substance after dividing into very tiny structures called capillaries. Veins then take the blood towards heart and then lungs for purification. In AVM the capillaries are missing. AVM can form anywhere in the body.
Fig 1: A- normal Arrangement of blood vessels, B- AVM
Fig 2: AVM in the right frontal lobe of brain. The abnormal bunch of vessels seen in the right upper corner of the image is the AVM.
What causes AVM ?
The cause in unknown and they form during pregnancy in the first trimester while the blood vessels are forming. Only some cases are syndromic and run in families. So far these have not been conclusively found to be associated with any drug intake, infection, pollution etc.
They can occur in people of all races and sexes in almost equal proportions although some reports say they are commoner in males. These are very rare conditions and occur in less than 1% of the population. The typical time of discovery is between the ages of 20 and 40 years although they have been present ever since.
What are the risks from AVM ?
AVMs have a life of there own in a way. They begin, grow and die. In many patients they remain undetected and go to grave with the person. In some, these are picked up during investigations done for other diseases. In a fraction, they produce symptoms.
What are the symptoms of an AVM ?
Haemorrhage (bleeding): AVMs have a higher rate of bleeding than normal vessels. This is the most serious complication of an AVM. The risk of bleeding over one's lifetime may be high especially if the AVM is discovered in a young person.
Table : Risk of Bleeding from an AVM
Life Expectancy from the age of discovery of AVM Risk of Bleeding
10 years 33.5%
20 years 55.8%
30 years 70.6%
40 years 80.3%
50 years 86.8%
Bleeding from an AVM will occur in about 4 out of 100 people with a brain AVM every year. Sometimes, a bleed may be small and produce no significant symptoms. Approximately 50% of the bleeds are significant with permanent disability in half of these cases and death in the other half.
Overall about 12% of people harboring an AVM will have symptoms and 1% die.
Fig 3: A -CT scan and B –MRI showing a large area of hemorrhage (white in CT and black in MRI)
Seizures: An AVM in the brain may act as an irritant resulting in seizures.
Headache: Headaches may be caused by the high blood flow through the AVM . These headaches may be similar to a migraine or be actual migraines. They may be mild or quite disabling. Sudden, severe headaches can be caused by bleeding. These headaches are often followed by nausea , vomiting , neurological problems or a decreasing level of consciousness.
Stroke (or stroke-like symptoms): Brain AVMs may cause stroke-like symptoms by depriving the nearby brain of blood as they ‘suck blood’ ( the steal phenomenon).
- Weakness of face or limbs
- Numbness and tingling in any part of the body
- Vision and hearing disturbances
- Memory and personality changes
There is an increased risk of haemorrhage from an AVM during pregnancy and delivery due to the increased blood circulation that occurs during pregnancy. Although not all AVMs bleed during pregnancy, it is advisable to cure the AVM before getting pregnant.
How are brain AVM diagnosed ?
A patient undergoing CT scan or MRI of the brain for the above said symptoms or any unrelated condition will be found to have an AVM.
Fig 4: CT scan of the same patient as Fig 2 above showing large blood clot. This scan is non contrast CT and does not show yet the AVM
Fig 5: Plain ( non contrast) CT shows blood clot. After contrast given through intravenous line, CT done again (Contrast CT or CECT as it is called) note many white tortuous snake like structures, this is the AVM.
Fig 6: MRI does not need contrast material to pick up AVM. A is a CECT showing AVM, B is a non-contrast (plain) MRI of another patient showing the AVM. On MRI the blood vessels and hence the AVM appears black.
Following diagnosing the presence of an AVM, angiography is done. It can be done with CT (CT angiogram), MRI (MR Angiogram) or DSA ( Digital subtraction angiogram). Of these, DSA is the best technique to evaluate and AVM and will have to be invariably done if definitive treatment is planned in future.
What is the treatment of brain AVM ?
EmbolizationTreatment is offered to prevent bleeding from the AVM. In other situations a high amount of clinical acumen and precision will be needed to say whether definitive treatment is required or not. e.g if patient is having recurrent seizures or is not responding to oral medications or is having severe headaches clearly attributable to the AVM. Some features of an AVM as seen on DSA also predict high chances of bleeding and these patients will need treatment even if they do not have any symptoms. Also, a clear benefit vs. risk analysis will be done by the treating doctor before offering any treatment.
Under general anaesthesia a small catheter (plastic tube) is advanced from an artery of the groin, into the brain vessels and then into the AVM. A liquid material called ‘glue’ (chemical name n-Butylcyanoacrylate or nBCA) is injected into the AVM to form a solid cast and exclude any blood flow to the AVM. Now another liquid material called ONYX is also available which has been claimed to produce better chance of complete AVM cure. There is a small risk to this procedure and the chances of completely curing the AVM using this technique depends on the size of the AVM and some other features as seen on DSA. Upto 45- 50% chance of complete cure is possible with embolization. Multiple sittings may be required.
Fig : Figures on left of screen show DSA images before and after embolization. there is near complete cure of AVM however a small portion remained. There was haemorrhage, unfortunately after the procedure, so the patient underwent surgery to remove the blood clot and the remaining portions of the AVM. A DSA was done after few months which showed complete cure of the AVM. The bottom image shows the ‘cast’ of the glue.
Animation explaining AVM embolization using ONYX
Radiation Treatment
This treatment is also known as Radiosurgery or Stereotactic Radiotherapy or Gamma knife therapy. A narrow radiation beam of high dose is focused on the AVM. This radiation causes the AVM to shrink and eventually disappear over a period of 2-3 years in up to 80% of patients. The risk of complications is low. Until the AVM is completely eradicated, the risk of bleeding still persists however.
Surgery
The AVM is surgically removed in an operating room under general anaesthesia after opening the skull. Since AVMs do not grow back, the cure is immediate and permanent if the AVM is removed completely. The risks of surgery are considered to be high for AVMs that are located in deep parts of the brain with very important functions. If the AVM has bled then surgery can be done to remove the blood clot and in the same sitting the AVM can also be taken out. In many instances, embolization is done prior to surgery to reduce the size of the AVM or to tackle the very weak areas of the AVM which can bleed by handling during surgery.
Surgery of brain AVM

