Cervical rib with MCA territory stroke
Cervical ribs or malformed first ribs are found in 1 % of normal population and constitute 4.5% of patients with thoracic outlet syndrome. They predominantly cause neurologic symptoms in upper limb while vascular symptoms caused by them are rare involving only 2% of these patients. The vascular symptoms caused by cervical ribs predominantly involve the distal upper limb and are due to thromboembolism from the proximal subclavian artery disease due to chronic trauma and aneurysm formation. Such phenomenon has also been described in other acquired conditions causing subclavian disease like malunited fracture of the clavicle. Right sided stroke in these patients have been rarely but consistently reported in the literature since long, but all the reported patients had history of upper limb vascular symptoms before the cerebral event. Presentation with carotid stroke without significant upper limb symptoms has not been described.
A 18 year old male patient presented to us with history of sudden onset weakness of left upper limb and deviation of face towards right 2 months back which started with loss of consciousness. NCCT done at that time showed right basal ganglia and adjacent frontal opercular region infarct. Patient was extensively investigated for all the causes of stroke in young for 2 months and was then sent to department of Neuroradiology for DSA to investigate vascular causes. The angiogram revealed narrowing of right MCA and non visualization of ascending frontal branches of right MCA suggesting thromboembolic episode in the past. During angiography a cervical rib was also noted on the right side causing mild narrowing of right subclavian artery with post stenotic dilatation. Angiogram during abduction revealed complete occlusion of the subclavian artery and filling of the right axillary artery from the collaterals. Combination of well formed cervical rib causing subclavian stenosis and post stenotic dilatation with evidence of thromboembolism on cerebral DSA was highly suggestive of cervical rib as the cause of stroke in this patient. Right subclavian artery showed only minimal dilatation and was not explored as thrombus was not evident either on angiography or Doppler.
Stent induced spasm during coiling of vertebral artery dissecting aneurysm
A 16 years young man with a history of minor head injury a year back and left sided PCA territory infarct 6 months ago underwent DSA revealing a dissecting aneurysm of the V4 segment of left vertebral artery just as it became intradural. He underwent stent assisted coiling. During procedure sudden spasm was noted as soon as the stent was opened (Image D) and the subsequent images (E to H) show relief after infusing nimodipine. Following achieving appearance similar to the control angiogram (Image A) coiling and complete occlusion of the aneurysm was done. The post procedure angiogram shows complete patency of the vertebral artery.
Stent induced spasm is a very rare entity and has to be differentiated the more commoner thrombosis. In this case only nimodipine can revert the artery back to its previous anatomy.
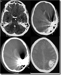
Onyx Embolisation of a large temporal AVM followed by Hemorrhage
A 32 year old otherwise healthy man came with uncontrolled seizures and mild right sided weakness with a large vascular malformation in the left temporo-occipital region.
The immediate post embolisaion CT was fairly encouraging.
However he suddenly developed seizures and right sided weakness 4 hours later. An urgent CT showed hematoma and IVH.
The hematoma was evacuated immediately. An MRI and DSA done in follow up show good result. The patient had only mild deficit not significantly changed since his pre-embolisation state.
Embolisation of Dissecting basilar artery aneurysm
A 35 years old female patient came with sudden onset of headache, diplopia, nystagmus, right sided weakness and gait disturbances.
MRI showed signal change in pons and left middle cerebellar peduncle and a heterogenous mass inseparable from the basilar artery in the prepontine cistern…hematoma
A DSA was done which revealed a dissecting aneurysm from the mid-basilar artery jutting to the left side.
Embolisation of the aneurysm was done with GDC coils. The basilar artery was also occluded. All the major braches proximal and distal to the arterial occlusion were filling adequately.
Intracranial HIV vasculopathy with multiple aneurysms
A 14-yrs old boy presented with sudden severe headache and loss of consciousness
CT head showed subarachnoid hemorrhage
DSA was done which showed extensive vasculopathy and multiple aneurysm formations
The aneurysm on left Distal ACA was coiled, however there was extreme narrowing of the parent artery during the procedure and the patient developed left ACA territory infarcts post procedure
The patient had tested positive for HIV however its source could not be traced back.
An unusual cause of Hematomyelia
MRI:13 Nov 2008- showed extensive cord changes and a tortuous flow void in the anterior thecl sac with a globular void at top of the serpentine vessel.

MRI:20 Dec 2008: clearly shows presence of severe hematomyelia. A diagnosis of spinal arterio-venous malformation was kept.
DSA: 2nd March 2009:
The aarch aortogram revealed a bunch of tortuous vessels aat root of neck bilaterally as well as amidline tortuous vessel (the anterior spinal artery) with an aneurysm. But what was surprising was that some of these vessels opened in the aorta lower down.
Suprised a thoracic aortogram was done which rrevealed a coarctation!
And, a review of the MR image donw earlier showed the finding very well.
The chest x ray reviewed now revealed ell-tale signs-large heart and rib notching!
and no one had read it well.
The problems in this case were:
1. Femoral pulses were palpable and equal on both sides
2. Radial pulses not compared with femoral pulses initially
3. Patient was non-hypertensive
4. No evidence of limb ischaemia
5. During angiogram the catheter and guidewire used to pass up straight due to the low coarctation hence could not be made out.
Trans-coarctation gradient of 30 mm Hg was recorded at angiography
Two Embolisation Attempts: 12 March and 16th March 2009
Failed as the feeding artery located within the mesh of tortuous vessels could not be catheterized
Patient was sent to the surgeons who attempted to operate -ligated some of the vessels entering the Cervical canal from the right side at C6 level in the hopw that the feeding artery could be excluded from circulation.
Post surgery MRI: 2nd April 2009 (POD2)
Discussion
Etiology of Spinal artery aneurysm (Rengachary et al)
P. JIARAKONGMUN, P. CHEWIT, S.PONGPECH. Ruptured Anterior Spinal Artery Aneurysm Associated with Coarctation of Aorta: Case Report and Literature Review. Interventional Neuroradiology 8: 285-292, 2002
Berenstein A, Lasjaunias P: Spine and Spinal Cord Vascular Lesions: Surgical Neuroangiography 5: 32-39, Springer-Verlag.
Rengachary SS, Derek A: Spinal Arterial Aneurysm: Case Report. J Neurosurg 33: 125-130, 1993.
Feng L, Yu-Hai B: Myelopathy and Multiple Aneurysms Associated with Aortic Arch Interruption: Case Report. J Neurosurg 35: 310-313, 1994
Smith BS, Penka CF, Erickson LS: Subarachnoid haemorrhage due to anterior spinal artery aneurysm. Neurosurgery 18: 217-219, 1986
Vincent FM: Anterior spinal artery aneurysm presenting as a subarachnoid haemorrhage. Stroke 12: 230-232, 1981
Djindjian R: Clinical symptomatology and natural history of arteriovenous malformation of the spinal cord – a study of the clinical aspects and prognosis, based on 150 cases. In: Pia HW, Djindjian R (eds) Spinal angiomas: advances in diagnosis and therapy. Springer, Berlin Heidelberg, New York, 1978
Djindjian R, Merland JJ et Al: Angiography of spinal column and spinal cord tumors. Neurological atlas. G Thieme, New York, 1981.











